Implantes Osseointegrados

A falta de um ou mais dentes compromete a qualidade de vida de uma pessoa, pois, acarreta perda da mastigação e estética, trazendo sérios problemas de auto-estima e convívio social. Os implantes dentários vem sendo utilizados há mais de 40 anos e são uma excelente solução para suprir a falta de um ou mais dentes, devolvendo a mastigação e a estética.
O implante osseointegrado (IOI) é um cilindro de titânio com superfície tratada que se comporta como uma raiz dentária artificial e é instalado cirurgicamente no osso do paciente, de forma rápida e indolor com anestesia local (a mesma anestesia utilizada para fazer uma obturação).



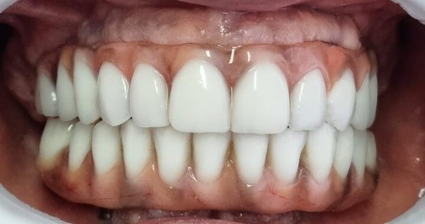
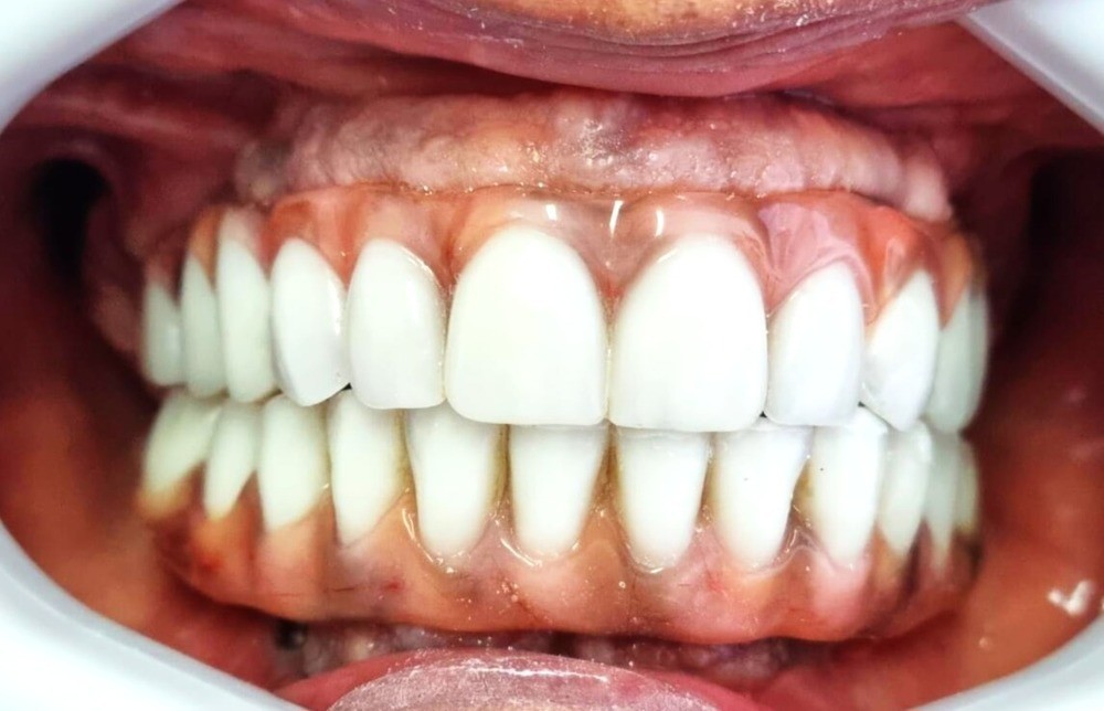
Caso realizado no consultório.
Como eu faço para entrar em contato com a Dra. Andréa Rodrigues / Implantes Dentários?
Entre em contato conosco pelos telefones: (21) 2548-3310 / (21) 98830-3310
Ou envie-nos uma mensagem preenchendo o formulário abaixo: